osgood schlatter disease and how itbandz stops this knee pain

Support for Osgood-Schlatter Disease

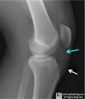
Is your child complaining of knee pain? If so, there is a chance it may be Osgood-Schlatter disease. According to the Mayo Clinic, a common cause of knee pain in youth is Osgood-Schlatter disease. Although the word "disease" is in the name, it is not really a disease, but rather an overuse injury. Osgood-Schlatter disease is an inflammation of the bone, cartilage, and/or tendon at the top of the shinbone where the tendon from the kneecap attaches. This inflammation can cause a painful lump below the kneecap in children and adolescents experiencing growth spurts during puberty.

Who is most susceptible to the condition? Osgood-Schlatter disease occurs most often in children who participate in sports that involve running, jumping and swift changes of direction such as soccer, basketball, figure skating and ballet. Since girls experience puberty earlier than boys, the age range of affliction varies by gender. Osgood-Schlatter disease typically occurs in boys ages 13 to 14 and girls ages 11 to 12. The condition usually resolves on its own, once the child's bones stop growing.

What are the symptoms of Osgood-Schlatter? Pain is the primary symptom of Osgood-Schlatter disease. The pain associated with Osgood-Schlatter disease varies from person to person. Some have only mild pain while performing certain activities, especially running and jumping. For others, the pain is nearly constant and debilitating. Osgood-Schlatter disease usually occurs in just one knee, but sometimes it develops in both knees. The discomfort can last from weeks to months and may recur until your child has stopped growing. Some tips Mayo Clinic recommends to help your child alleviate pain include:

  • Rest the joint. Limit the time spent doing activities that aggravate the condition, such as kneeling, jumping and running.
  • Ice the affected area. This can help with pain and swelling.
  • Stretch leg muscles. Stretching the quadriceps, the muscles on the front of the thigh, is especially important.
  • Try a strap. A patellar tendon strap fits around the leg just below the kneecap. It can help to "tack down" the kneecap's tendon during activities and distribute some of the force away from the shinbone.
  • Cross-train. Suggest that your child switch to activities that don't involve jumping or running, such as cycling or swimming, until symptoms subside.

itBandz Knee Braces and Osgood-Schlatter Disease

itBandz provides support superior to other patellar knee bands due to its molded internal piece. The patellar support provided from itBandz helps alleviate pain caused from Osgood-Schlatter's until it is outgrown. 

Back to blog